
引言
在西乃圣约中,上帝赐下了律法。
是不是律法剥夺了我们的自由?
律法和自由之间是对立的关系吗?
到底是什么剥夺了我们的自由?
请听我们的讲道剪辑:谁剥夺了我们的自由-梁志勇《出埃及记(30)神的律法》
一段经文
【约8:34】耶稣回答说:“我实实在在地告诉你们:所有犯罪的,就是罪的奴仆。
概要与感悟
有一个重要的问题,是非常值得基督徒下力气去研究明白的,那就是:
律法和自由之间的关系,是矛盾的呢,还是相辅相成的?
1. 律法与自由,是相辅相成的
我们堕落理性的天然错误观念认为,“律法就是来捆绑我的自由的”。
但这不是圣经的观点。
“自由和律法是一个和谐的关系”,这是圣经的观点。
我们天然的观念是说,如果有律法了,还有自由吗?律法不就是来捆绑我的吗?
让我们谨记:
这世上的律法确实难免会有捆绑自由的偏差,但是上帝的律法是对我们的自由只有益处,全无捆绑的。
我们行在律法当中,才是真自由;当我们干犯了律法,就不自由了。
让我们举个例子帮助你明白:
你看火车,当它在铁轨上走的时候自由呢,还是不在铁轨上走的时候是自由的呢?
火车在铁轨上行进,才是自由的。
如果你说“原来铁轨约束我,脱离了铁轨,那多自由啊,现在我想去哪就去哪”,是不是这样呢?
不是的,当火车脱离了铁轨,它就不自由了。

(上图来自网络)
2. “自由”的标准是什么?
让我们再读一处经文:
大家翻到约翰福音第八章33,34节两节的经文:
【约8:33】他们回答说:“我们是亚伯拉罕的后裔,从来没有作过谁的奴仆,你怎么说‘你们必得以自由’呢?”
【约8:34】耶稣回答说:“我实实在在地告诉你们:所有犯罪的,就是罪的奴仆。
你看,我们一般是以“一个人能不能随心所欲做事情,作为判断一个人自由不自由的标准”。
但耶稣给了我们另一个标准。
在这段经文中,以色列人对耶稣讲的话,他很不服气。
因为,他们是讲血统的,他们说“我们是亚伯拉罕的后裔,我们是上帝的选民,我们多好啊,我们从来没失去过自由”
耶稣却说,
“不对,
你不要根据你‘想做什么,就做什么’来判断你自由不自由,
你要根据‘你跟罪的关系’判断你是否自由;
凡犯罪的,就是什么呢?
就是‘罪的奴仆’。
是的,犯罪的,就是罪的奴仆,你就是不自由的。”

(上图来自网络)
所以,我们不能根据自己的血统,根据自己能否任意而行的感觉判断,自己是否自由。
我们要根据自己是否脱离了罪的辖制,来判断我是不是自由的。
3. 什么剥夺了我的自由?
既然上帝把律法赐下来,不是来捆绑我们的。
但为什么我们在有律法的时候,才感受到自己好像没自由了?
没有律法之前我觉得挺开心的,当上帝的律法来了,我觉得我不自由了,这难道不是表明律法剥夺了我的自由吗?
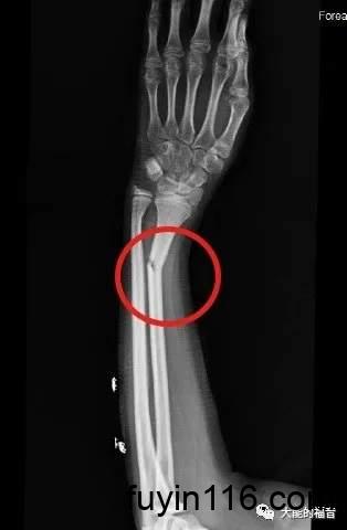
我们再举个例子让大家明白,比如一个人,他整天咳嗽,身体不舒服,然后呢,他手臂又痛,总是觉得痛,但不知道痛的原因在哪里,然后呢,就去医院看医生。
医生说,你手臂痛,头痛,而且摸着就痛,但是医生又不能把他的肉挖开了,看里面怎么样,所以医生说你去照下X光,一照X光,发现原来他里面的骨头断了。
好了。我问大家一个问题:
他一照X光,发现骨头断了,请问是不是X光机把他骨头打断了?
不是的;
其实,他以前骨头就断了;而X光机把他已经骨折这件事显明出来了而已。

(上图来自网络)
你明白我讲的意思吗?
原来所有人都是不自由的,但我们自己不知道。
没有上帝的律法之前,罪人以为“我是自由的,我只是有点痛”,但不知道其实他灵魂的骨头已经断了。
是的,律法来了,我才发现一个真相:我原以为自己是自由的,有了律法,我发现自己其实根本不自由,我原来是“罪的奴仆”。
如果我们说“是X光机,导致我骨头断了”这个说法是不公平的;同样道理,我们说“律法剥夺了我的自由”也是不公平的、错误的。
没有律法之前,不管我们觉得自己多么自由,多么美好,多么有力,这些都是假象;
律法来了,诚实地指出我们根本没有自由,我们的自由已经被罪剥夺了。
这时候,我们不应该痛恨律法戳穿了我们的美梦,而是要恨恶罪。
因为真正剥夺我们自由的,不是律法,乃是罪。
所以,我们若真的爱自由,我们就必须去寻求基督的救恩,因为唯有基督能拯救我们脱离罪,得到真自由,就像主耶稣说的:
【约8:36】所以天父的儿子若叫你们自由,你们就真自由了。
——梁志勇
为读者听众祷告
主耶稣基督,感谢赞美你
求你祝福我们这短短几分钟的讲道剪辑,如同你当年在旷野祝福“五饼二鱼”一样。
求你使我们献上的“五饼二鱼”,经过你的祝福,能帮助每一个读者听众:
更与主同行,
在信仰上更坚固,
心灵更得医治和滋润,
更能为主奔跑,
更勇敢打美好的仗,
更盼望那荣耀的冠冕!
阿们!
更多信息
2、完整的讲道音频《出埃及记(30)神的律法》

(题图摄影:米丽姊妹)